Advanced Retinal Imaging
Advances in early detection and treatment of retinal diseases made possible by retina specialists can preserve sight and virtually eliminate vision loss. Retina specialists have access to the newest, most advanced imaging technologies, allowing for earlier diagnosis, closer monitoring, and breakthrough treatment approaches that can help save sight.
During a visit with your retina specialist, your eyes will be examined, including a vision check, an eye pressure check, and an external examination. Then you will receive a dilated retina exam, with drops applied to the eyes to widen the pupil in order to view the back of your eye (retina). Following your dilated retina exam, your doctor may perform diagnostic testing and imaging. Based on the diagnostic testing and exam, your retina specialist may be able to treat you in the office during the visit.
Common Imaging Techniques and Technologies Used by Retina Specialists

Indirect Ophthalmoscopy: A diagnostic technique used to examine the back of the eye, including the retina, optic nerve, and blood vessels. During the exam, the retina specialist shines a bright light into the eye from a special head-mounted device. The retina specialist then uses another lens, called a handheld lens, to magnify the image of the back of the eye and examine it in detail. Indirect ophthalmoscopy is performed in combination with other diagnostic tests to help diagnose and monitor eye conditions such as macular degeneration, diabetic retinopathy, and retinal detachments.

Fundus Photography: Fundus photography, and ultra-widefield fundus photography, use a specialized camera with a low-power microscope to capture a series of high-resolution images of the fundus, or back of the eye including the retina and macula, while a patient’s eyes are dilated. During this painless test, the patient is seated in front of a specialized camera and looks straight ahead while a bright light is shone into their eye. The camera then takes multiple images of the back of the eye, which are reviewed by the retina specialist for any abnormalities or signs of disease.

Optical Coherence Tomography (OCT): A non-invasive imaging technique that uses waves of light to capture individual images of cross-sections of the retina giving retina specialists a three-dimensional look at its structures and the ability to measure the retina’s thickness. The resulting images may be in color or black and white. During the test, the patient is seated in front of a machine that looks like a camera and asked to rest their chin on a support to keep their head still. The patient's eyes are then scanned with a special light, which captures images of the back of the eye. After the exam, the results are available immediately and reviewed by a retina specialist, which allows for prompt diagnosis and treatment if necessary.

Optical Coherence Tomography Angiography (OCT-A): A novel, non-invasive technique, OCT-A allows a close, three-dimensional look at the blood vessels and blood flow inside the retina and surrounding tissues. During the procedure, the patient is seated in front of a machine that looks like a camera and asked to rest their chin on a support to keep their head still. The patient's eyes are then scanned with a special light, which captures images of the back of the eye, including blood vessels and blood flow.

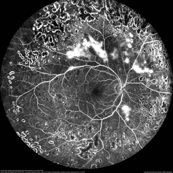
Fluorescein Angiography/Indocyanine Angiography (FA/ICG): A diagnostic technique that uses a dye injected into the bloodstream and a highly specialized camera to record blood flow within the retina and the rest of the eye. After a patient’s eyes are dilated, a small amount of dye is injected in the arm or hand. The patient is positioned in front of a specialized camera and looks at a series of bright lights while a series of pictures are taken which shows the dye as it moves through the blood vessels in the retina.

Ophthalmic Ultrasound: Ophthalmic ultrasound, also known as ocular ultrasound or eye ultrasound, is a diagnostic imaging technique that uses high-frequency sound waves to create images of the structures inside the eye. During the non-invasive test, a probe is placed on the eye or eyelid and the patient may be asked to move their eye in different directions. Ophthalmic ultrasound is useful in diagnosing and monitoring various eye conditions, including retinal detachment, vitreous hemorrhage, tumors, and other abnormalities.
A visit with your retina specialist may last longer than a typical medical visit. Because a retina specialist’s office is equipped with highly specialized imaging equipment, all testing and imaging to track the progress of your retinal condition happen right in the office, without you having to travel to a different medical office or clinic. To be safe, plan to be at the clinic for about two to three hours. In addition to testing and imaging to track the progress of any conditions you may have; you may also receive treatments including eye injections during this time. Because your pupils were dilated and stay that way for several hours, it’s a good idea to have a friend or loved one accompany you to your appointment and drive you home when it’s complete.
