Special Safety Edition: 2017 Great American Eclipse
Don’t Get Burned by the 2017 Great American Eclipse
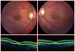
Solar retinopathy can cause a burn and permanent blind spot in vision that interferes with activities like reading. Photo courtesy Jeffrey G. Gross, MD, and Carolina Retina Center.
On August 21, 2017, North America will witness a rare total solar eclipse as the moon passes between the sun and the Earth, blocking daylight for several minutes. The last eclipse of this magnitude was in 1918, and weather permitting, it promises to be an incredible event if viewed safely.
During the eclipse, the moon’s coverage of the sun will be partially visible from most of the United States. In order to see the moon cover the sun completely, you’ll have to be in the so-called “Path of Totality,” which is a 70-mile-wide strip extending diagonally across the country from Oregon to South Carolina (Figure 1), crossing the major cities of Jackson Hole, WY; St. Louis, MO; Nashville, TN; and Charleston, SC. The total eclipse is predicted to last about 2 minutes, and detailed predictions of start time per location are available from eclipse2017.nasa.gov.
Beware! Solar Energy Can Harm Your Eyes
Viewing a solar eclipse without proper precautions or eye protection can be dangerous to the retina, the light-sensing tissue of the eye, potentially causing permanent blurred vision and/or blind spots in the vision (Figure 2). Solar retinopathy is a condition that occurs when image-sensing photoreceptors are destroyed following initial damage to the retina and adjacent tissue. The injury is similar to thermal burns that can be caused by laser. Depending on the extent of the injury, people have suffered temporary vision loss, residual blurring and/or distortion, or permanent vision loss (Figure 2) (see retina illustration). In some cases, exposure causes people to develop macular holes, which are perforations in the central retina (known as the macula) that is responsible for the sharp focus needed for reading and recognizing faces. Repair of a macular hole requires surgery (Figure 4).
Several documented reports exist of patients developing vision loss while viewing solar eclipses throughout the world, including Turkey (1976), Northern Europe (1999), the United Kingdom (2012), and the Czech Republic (2015). Solar retinopathy occurs more commonly around the time of a solar eclipse, but can also occur due to incidents such as having a laser presentation pointer shined in the eye or from sun gazing due to psychiatric conditions or purposeful self-harm.
Figure 3. NASA recommends protective eclipse glasses be International Organization for Standardization (ISO) 12312-2 certified. |
Tips for Safely Viewing a Solar Eclipse
If you are within the small 70-mile path where a total eclipse of the sun occurs, it is relatively safe to look directly at the moon during “totality,” which is the brief minute or two when the moon covers the sun completely. However, it is important to look away immediately as the first hint of sunlight emerges around the moon.
How it works
Put a pinhole in the center of a white index card or sheet of paper. Turn your back to the sun and hold the index card up, allowing sun to beam through hole, projecting a solar image onto a paper positioned in front of you. Alignment of surfaces is key; the farther apart, the larger the image appears. Positioning the paper in shade will enhance the image. No filters or shields are used. Remember NOT to look directly through the pinhole into the sun.
If you are in a location that will experience the partial eclipse, the safest and most common way to view it is with pinhole projection (see illustration at right).
For direct viewing of the sun during a partial eclipse, special filters are required. Solar filters should transmit less than 0.003% of visible light (380 nm to 780 nm) and a maximum of 0.5% of the near-infrared radiation (780 to 1400 nm). To do this, most filters either contain a thin layer of chromium alloy or aluminum deposited on the surface that reduces both visible and near-infrared radiation. A commercially available filter deemed safe for solar viewing is shade number 14 welder’s glass, which can be purchased at any reputable welding supply store. A less expensive filter contains aluminized mylar that has been used in commercially available glasses manufactured specifically for solar observation. Consumers should be aware that NASA recommends protective eclipse glasses be International Organization for Standardization (ISO) 12312-2 certified (Figure 3).
Unsafe filters
Unsafe filters include, but are not limited to
- color film
- black-and-white film that contains no silver
- photographic negatives such X-ray film
- smoked glass
- sunglasses
- polarizing filters or neutral density films
It is advisable to check for the proper ISO certification when in doubt. Should you experience vision changes during or following the viewing of an eclipse, seek immediate consultation with an eye physician.
A total eclipse of the sun is an incredible cosmic phenomenon that is rarely seen. If you’re lucky enough to be along its path and witness it, please use caution, but enjoy the show. In case you miss it this August, not to worry… the next one in the United States is only 7 years away!
THANK YOU TO THE RETINA HEALTH SERIES AUTHORS
Geoffrey G. Emerson, MD, PhD
Robert W. Wong, MD
ASRS Delivers National Eclipse Safety Message
|






